Slika usluga

Radiologija

Mamografija

Mamografija

Rak dojke je najčešći maligni tumor medju ženama u Evropi. On čini 26.5% svih novih slučajeva raka i 17.5% smrtnih slučajev među ženama u Evropi.

Riziko-faktori:

Opasnost od raka dojke je povećana u žena koje su imale prvu menstruaciju prije 12. godine, koje su imale menopauzu prije 50. godine, koje nisu rodile ili su rodile poslje 30. godine, koje su operisane zbog raka jedne dojke (vjerovatna učestalost raka u drugoj dojci je 6%), ako je u porodici neko od bliskih srodnika imao rak dojke, te poslje 50. godine života opasnost je veća sa gojaznosti i manjim kretanjem.

Simptomi raka dojke:

Bezbolni čvor u dojci je glavni znak. Većina žena sama napipa čvor. Ponekad je čvor bolan na dodir ili praćen spontanim bolovima, iscjedak iz bradavice, nedavno uvučena bradavica koja se ne može izvući, osip, rane i kraste na koži dojki, uvučenost kože iznad tumora, koža dojke koja sliči kori narandže, crvenilo, oteklina, toplina i bolnost, povećani limfni čvorovi u pazušnoj jami, bolovi u leđima, ...

Dijagnostika:

Ukoliko se čvor otkrije, postupci koji se koriste za njegovo ispitivanje uključuju:

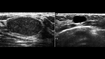
  • Mamografiju i/ili ultrazvuk dojki
  • FNA biopsiju ("finu punkciju iglom"), cor ili vakuum biopsiju, koji omogućavaju analizu tkiva pod mikroskopom.

Zašto je potrebno toliko pažnje dati ranom otkrivanju karcinoma dojke?

Prema Američkom onkološkom udruženju, petogodišnje preživljavanje za žene s otkrivenim i liječenim karcinomom dojke je apsolutno povezano sa stadijumom u kojem je karcinom dojke otkriven:

100% za stadiji 0 i I
92% za stadiji IIA
81% za stadiji IIB
67% za stadiji IIIA
54% za stadiji IIIB
20% za stadiji IV

Šta je mamografija?

Mamografija je snimanje grudi sa niskom dozom rtg zracenja u cilju ranog otkrivanja karcinoma dojke koji je kod zena prvi po ucestalosti medju karcinomima. Preporucuje se uraditi je jednom godišnje, iza 40-te godine zivota, a ultrazvuk dojki do 40-te godine. Pregled takodjer treba uraditi ako osjetite tvrdo tkivo ili žlijezdu u grudima, iscjedak iz bradavice ili ako imate pozitivnu porodicnu anamnezu karcinoma dojke.

U 5-15% mamografskih snimaka naći ce se promjena koja zahtijeva dodatni pregled, kao ultrazvuk grudi, biopsiju ili kontrolnu mamografiju.

Ispitivanje će trajati do 30 min. Ne treba stavljati dezodorans ili puder na tijelo, odjeca treba da bude dvodijelna. Pred pregled obavice se kratki razgovor s Vama, postupak objasniti i bicete uvedeni u sobu za presvlačenje gdje ćete se skinuti od struka na gore. Dobiti ćete ogrtač koji se otvara sprijeda. Za vrijeme svakog snimanja rentgena tehnicar će pažljivo pozicionirati grudi tako da ih podesi čvrsto na mamografskom aparatu. Mamografija traži kompresiju grudi, koja je neugodna za vrijeme pravljenja rentgen snimka, ali ne treba biti bolna. Kompresija grudi pomaže postizanju boljeg rentgen snimka, dozvoljava upotrebu manje doze rentgen zracenja, sprecava kretanje i nastanak nejasne slike. Ako imate osjetljive grudi zakažite termin mamografije dva tjedna nakon Vaše mjesečnice, jer su tada grudi manje osjetljive, smanjujući mogućnost neugodnosti za vrijeme mamografije. Za reduciranje osjetljivosti izbjegavajte kafu s kofeinom nekoliko dana pred pregled. Kompresija neće štetiti Vašim grudima u svakom slučaju i važno je dobiti dobar snimak za procjenu. Držanje veoma mirno dok rentgen snima je potrebno da snimak ne bi bio nejasan. Ako ste pregled radili vec ranije, obavezno ponesite snimke sa sobom radi usporedbe-to ce nekada jako olaksati procjenu nadjenih promjena i potrebu za dodatnim ispitivanjem.